Healing Humankind

The David Geffen School of Medicine at UCLA is unique in that it is attached to a tertiary hospital across the street from major research resources, sparking the most special kind of opportunities for advances. Progress over the past several decades has created a remarkable climate for rapid advances in the brain sciences. UCLA physicians, scientists and engineers work together to apply this ever expanding knowledge base to dig deeply into the mechanisms of brain diseases and to develop new and effective therapies.

Patient Stories

A young boy named Gio with epilepsy

Gio’s Journey

“Your son has epilepsy.” Four words. Four terrifying words.

Gio’s Journey

Brad Lusk

16-Hour Surgery

Brad Lusk was running 60 miles a week before finding out he had a growing tumor.

16-Hour Surgery

Jonah Sanders 7 hour surgery to help control his seizures

Seizure-Stopping Surgery

Jonah underwent a seven-hour surgery to help control his seizures.

Seizure-Stopping Surgery

Suspect a brain injury?

Follow these 6 tips for the best care.

Dr. Paul Vespa, director of UCLA Health’s neurocritical care program, offers six tips to ensure the best care if you or a family member suffers what’s called a traumatic brain injury, or TBI.

  1. Know the warning signs. Symptoms such as headache, nausea, dizziness or a lapse in consciousness may indicate bleeding in the brain that can turn deadly quickly. Consider these red flags to get the injured person to the hospital immediately.
  2. Timing counts. Swift surgery or other medical intervention can prevent death and permanent brain damage from a TBI.
  3. Choose the right hospital. Not every medical center offers the trained specialists and advanced equipment required to treat TBIs effectively. Make sure your loved one is treated at a hospital with a neuro-intensive care unit on site.
  4. Insist on a specialist. Demand that your loved one be evaluated and treated by a physician who has undergone extra training to specialize in brain trauma. This is not the time for a general neurologist.
  5. Understand the rules. Ask whether the medical team follows the American Academy of Neurology guidelines for treating concussion and TBI. These guidelines improve patient outcomes and increase the likelihood of a successful recovery.
  6. Don’t forget rehabilitation. Patients recovering from a TBI often need physical therapy and cognitive rehab to relearn how to swallow, speak, walk, dress themselves and process information. Concussion patients also require careful monitoring and specialized treatment to enable the brain to heal and fully recover.

Clinical Research Spotlight

Multipronged approach takes aim at malignant brain tumors

Researchers and clinicians at UCLA are making progress in their efforts to find effective treatments for malignant brain tumors — in part through a strategy that recognizes multiple options are needed coupled with the ability to predict which therapies will most benefit each specific patient.

“Thanks to our work in molecularly and genetically classifying these tumors, we have a better appreciation that there are different subtypes of the disease, and not all types can be treated equally,” explains Linda Liau, MD, PhD, director of the UCLA Brain Tumor Center.

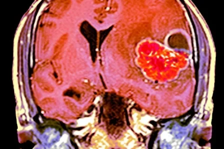
A MRI scan through the head of a 48-year-old male patient with a glioblastoma
Colored coronal magnetic resonance imaging (MRI) scan

What you are seeing:

Colored coronal magnetic resonance imaging (MRI) scan through the head of a 48-year-old male patient with a glioblastoma (red), with surrounding oedema (fluid) that is compressing the left ventricle (at right). A glioblastoma is a particularly malignant brain cancer that arises from the supporting glial cells in the brain. Treatment is with a combination of surgery and radiotherapy, but the prognosis is poor.

Treating Glioblastoma

Understand, then cure.

Let’s dedicate ourselves to the type of fiercely open-minded scholarly inquiry that promises to uncover the causes of human disease. Learn more about what research is being done, and what resources can be found on campus, by disease.

Don't see what you are looking for? Try a filtered search.